
The effect of cannabinoids on liver injury associated with acute pancreatitis
- Department of Medical Pharmacology, Faculty of Medicine, Zonguldak Bulent Ecevit University, Zonguldak, Kozlu, 67600, Turkey
- Department of Medical Pathology, Faculty of Medicine, Zonguldak Bulent Ecevit University, Zonguldak, Kozlu, 67600, Turkey
- Department of Biostatistics, Faculty of Medicine, Zonguldak Bulent Ecevit University, Zonguldak, Kozlu, 67600, Turkey
Abstract
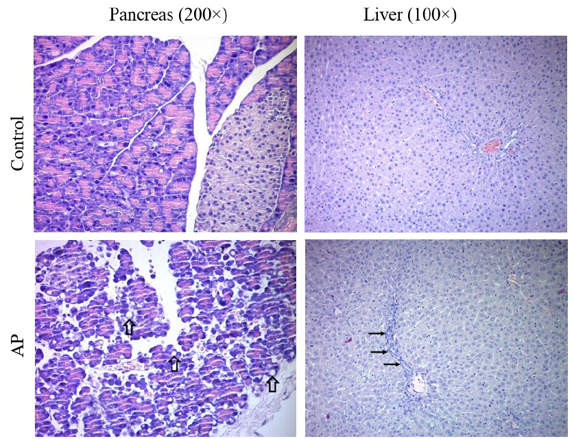
Introduction: Acute pancreatitis (AP), an inflammatory condition, can lead to serious complications such as systemic inflammatory response syndrome (SIRS) and multiple organ failure. The liver is one of the organs affected during this process. Cannabinoids have demonstrated efficacy in the treatment of numerous pathologies, including pain, inflammation, and gastrointestinal diseases. In this study, we evaluated the effects of the phytocannabinoid cannabidiol (CBD) on AP-associated liver injury (LI).
Methods: Rats were randomized into control, AP, and AP+CBD groups. The AP and AP+CBD groups received caerulein (50 µg/kg; five intraperitoneal injections), while the AP+CBD group additionally received prophylactic CBD (10 mg/kg). Pancreatic and liver tissues were evaluated histopathologically, immunohistochemically, and biochemically, and serum lipase levels were measured.
Results: Caerulein administration increased serum lipase levels and induced tissue damage by elevating oxidative stress and nuclear factor-κB (NF-κB) immunoreactivity in the pancreas and liver. CBD treatment reduced histopathologic damage and oxidative stress in both organs. NF-κB immunoreactivity in the pancreas was significantly reduced, while its activity in the liver appeared to be elevated.
Conclusion: Our study suggests that CBD possesses therapeutic potential in AP by reducing oxidative stress and NF-κB activity. In the liver, CBD may mitigate AP-associated LI by lowering oxidative stress and differentially modulating NF-κB activity through as-yet-undefined mechanisms. Additional research is needed to clarify CBD’s hepatic effects in the context of AP.